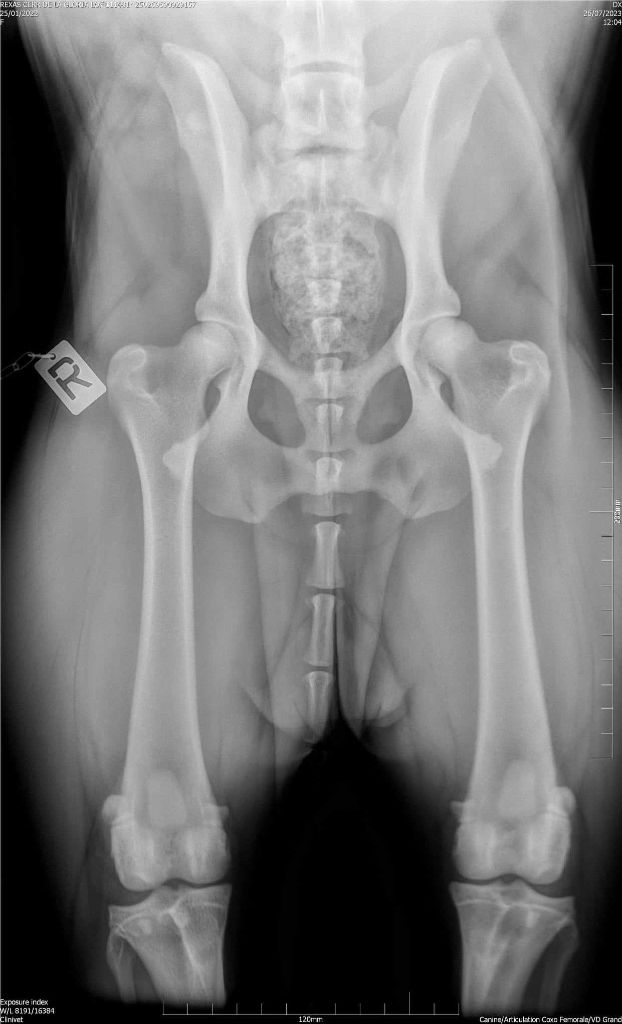
Texas Cerro de la Gloria
femelle
Rottweiler
née le
25/01/2022

ma fifille bébé
radio hanche
chez le veto on est calme
Informations sur Texas Cerro de la Gloria
| Sexe | Femelle |
| Couleur | noir et feu |
| Puce | 250269590929157 |
| Inscrit au LOF ? | LOF |
| N° origine | 111481/14878 |
| Cotation | 1 - Confirmé |

